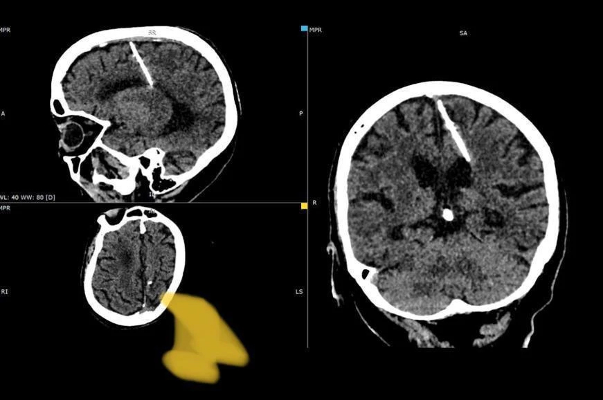
عثر أطباء خلال فحص بالتصوير المقطعي على إبرة بطول ثلاثة سنتيمترات موجودة منذ 80 عاما داخل دماغ امرأة مسنة في أقصى الشرق الروسي.
ويعتقد الأطباء أن المرأة تعرضت لمحاولة قتل فاشلة نفذها والداها خلال طفولتها، وقالوا إنهم لن يحاولوا إزالة الإبرة خشية أن يفاقم ذلك حالتها.
وقالت إدارة الصحة المحلية في منطقة سخالين الروسية النائية إن "مثل هذه الحالات كانت شائعة خلال أعوام المجاعة".
وأضافت أن والديها قررا على الأرجح التخلص من طفلتهما خلال الحرب العالمية الثانية، لأنها كانت تعيش مع إبرة يبلغ طولها ثلاثة سنتيمترات "منذ ولادتها".
ولفتت إلى أن هذه الطريقة كثيرا ما تستخدم لإخفاء أدلة الجريمة.
وكان نقص الغذاء سائدا في جميع أنحاء الاتحاد السوفياتي خلال الحرب، وعاش الكثير من السكان في فقر مدقع.
وقالت إدارة الصحة المحلية "لقد اخترقت الإبرة الفص الجداري الأيسر، لكن لم يكن لها التأثير المقصود، إذ نجت الفتاة".
وأضافت أن المريضة لم تشك قط من الصداع بسبب الإصابة، ولم تكن تواجه أي خطر، لافتة إلى أن "حالتها تحت مراقبة الطبيب المعالج".

