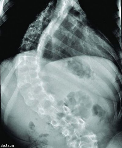
نجح فريق طبي في مستشفى الملك خالد الجامعي في جامعة الملك سعود في إنهاء معاناة مريض في الثالثة عشرة من عمره أصيب بالشلل نتيجة انحراف شديد في العمود الفقري (الجنف) وتأخر في العلاج حتى وصلت نسبة الانحناء إلى (140درجة).
وتم تنويم المريض بشكل عاجل وأجريت له عملية جراحية لإزالة الضغط عن الحبل الشوكي وتم تقويم الظهر من الخلف حيث تمكن المريض من المشي والعودة لممارسة حياته الطبيعية بعد العملية مباشرة ولله الحمد.
في حين أوضح الدكتور مساعد السلمان عميد كلية الطب والمشرف على المستشفيات الجامعية، أنه أنجز أكثر من 55 جراحة لمرضى من مختلف الأعمار ممن يعانون انحرافات شديدة في العمود الفقري (الجنف) في مستشفى الملك خالد الجامعي
وأشار أن ذلك تم بعد اكتمال التجهيزات في وحدة الجراحات التقويمية لانحرافات العمود الفقري وذلك خلال فترة وجيزة لم تتجاوز 17 شهراً منذ إنشائها، لافتاً إلى أن تلك الإنجازات المتتالية التي تحققها كلية الطب والمستشفيات الجامعية هي تأكيد لتميز وبراعة الطبيب السعودي واحتواء الكلية والمستشفيات الجامعية على كوادر وطنية وتخصصات نادرة في عديد من المجالات.
بدوره، ذكر الدكتور عبد المنعم الصديقي الأستاذ المساعد في كلية الطب واستشاري جراحة العظام والعمود الفقري في مستشفى الملك خالد الجامعي ورئيس الفريق الطبي لوحدة الجراحات التقويمية للعمود الفقري (الجنف)، أن الانحرافات في العمود الفقري تعد من الأمراض الخطيرة والمعقدة في أي المجتمع.
ونظراً لندرة المراكز الطبية و ندرة المتخصصين في هذا المجال ،الأمر الذي أدى إلى تأخر عديد من المرضى في تلقي العلاج و إيجاد صعوبات كثيرة في تعديل وتقويم هذه الانحرافات حيث تزداد نسبة الانحراف كلما تقدم بالمريض العمر وتأخر العلاج.

