بنظم مستشفى الملك فيصل التخصصي أعمال "المؤتمر الثاني للشفة الأرنبية وشق سقف الحلق" في مدينة الرياض ما بين 31 آذار (مارس) و2 نيسان (أبريل) المقبلين بحضور عدد كبير من خبراء جراحة الفكين وأطباء الأمراض الوراثية وإخصائيي عيوب النطق، بهدف رفع كفاءة وتحسين مستوى الخدمات الطبية المقدمة لمرضى "الشفة الأرنبية" وبخاصة عند فئة الأطفال من خلال ما سيقدم من أوراق عمل متخصصة تعرض لآخر ما وصلت إليه البحوث العلمية في علاج حالات تشوهات الوجه وآخر المستجدات الجراحية والإكلينيكية لعلاج شق الشفة الأرنبية وسقف الحلق.
وتتضمن أعمال المؤتمر الذي يشرف عليه مركز الأبحاث والعيادة المشتركة لتشوهات الوجه التابعين للمستشفى محاور أساسية تشمل مواضيع الجراحة التجميلية وجراحة الفكين وعلاج الأسنان والأساليب الحديثة لتقويمها، إضافة إلى محور الأمراض الوراثية.
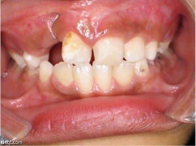
وتعد الشفة الأرنبية وشق سقف الحلق من أكثر التشوهات الخلقية التي تصيب منطقة الوجه، وهي عبارة عن انفصال أو شق يحدث في الشفة العلوية بدرجات متفاوتة، فيما تشير دراسات طبية إلى أن المضاعفات المصاحبة للمرض تشتمل على تغير في الشكل الخارجي للوجه وتشوه في نمو الأسنان والفك العلوي، والإصابة بالتهابات الأذن المتكررة، وضعف السمع، كما تتأثر عملية الرضاعة وتغذية الطفل.
من جانبها، أكدت الدكتورة عزيزة الجوهر استشارية طب أسنان الأطفال والمشرفة الطبية للعيادة المشتركة لتشوهات الوجه، أن الأرقام العالمية تشير إلى أن نسبة حدوث حالات الشفة الأرنبية وشق سقف الحلق تبلغ واحد في الألف من المواليد الأحياء، في الوقت الذي لا توجد فيه في المملكة دراسة شاملة حول المرض، موضحة أن هناك بعض الدراسات المحدودة التي تشير إلى أن نسبة الإصابة تبلغ واحد من كل ستمائة مولود حي فيما تبقى أسباب الإصابة غير معروفة.
#2#
وأشارت الدكتورة الجوهر إلى دراسة قام بها مركز الأبحاث في مستشفى الملك فيصل التخصصي عام 2006م شملت عينة من 834 طفلا مصابا إما بالشفة الأرنبية أو شق سقف الحلق أو كليهما، وجدت أن هناك ارتباطا بين زواج الأقارب وحدوث هذا التشوه، فيما ترى أنه في حالة إذا ما كان التشوه قد حدث سابقاً في عائلة الأب أو الأم فإن هناك احتمال أكبر لتكرار الإصابة بهذا التشوه.
ويتطلب علاج الشفة الأرنبية والحنك المشقوق لفترة طويلة من العلاج بحسب نوعية الشق، ويتم ذلك تدريجياً على عدة مراحل من الطفولة إلى مرحلة البلوغ. فيما يحتاج الطفل خلال فترة العلاج إلى القيام بزيارات دورية متعددة تبدأ بالجراحة التجميلية للشفة العلوية من الفم، ثم عملية لإصلاح سقف الحلق، ثم علاج مكثف للنطق ومتابعة عيادة الأسنان وتقويم الأسنان بجانب عيادة الأنف والأذن والحنجرة، حيث أشارت الدكتورة الجوهر إلى أن موعد جراحة الشفة الأرنبية يبدأ عندما يبلغ الطفل ما بين ثلاثة إلى ستة أشهر وذلك على مرحلة أو مرحلتين اعتمادا على نوع التشوه.


